Gingivitis

Gingivitis

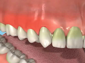
Gingvitis ist eine zumeist bakteriell verursachte akute oder chronische Entzündung des Zahnfleisches. Sie wird meist durch Bakterienbeläge (Plaque) verursacht, die sich in den Zwischenräumen zwischen den Zähnen und dem Zahnfleisch ansammeln.

Es können folgende Symptome auftreten:
  • geschwollenes Zahnfleisch, das schnell blutet (auch bei sanftem Bürsten)
  • hellrotes oder auch purpurfarbenes Zahnfleisch
  • juckendes Zahnfleisch
  • ansonsten schmerzfreies Zahnfleisch reagiert schmerzhaft auf Druck
  • Rückgang des Zahnfleisches
wurzelspitzenentfernung01
Akute Gingivitis

Die akute entzündliche Gingivitis ist gekennzeichnet durch leichte Rötung des Zahnfleisches, erhöhte Blutungsneigung und eine leichte Schwellung. Schmerzen sind entweder nicht, oder nur leicht vorhanden. Sie wird durch bakterielle Beläge ausgelöst.

Chronische Gingivitis

Die chronische Gingivitis entsteht meist aus der akuten Gingivitis. Die chronische Gingivitis erscheint oft zusammen mit einer großen Menge Zahnstein. Hier spielt nicht nur die bakterielle Komponente eine Rolle. Durch den verkalkten, harten und scharfkantigen Belag kommt es zu einer ständigen Reizung des Zahnfleisches (Gingiva).

Ablauf der Behandlung

Der Zahnarzt wird eine gründliche Reinigung der Zähne, des Zahnfleisches und vor allem des Bereichs zwischen den Zähnen durchführen. Dabei werden der bakterielle Zahnbelag und damit der Auslöser für dieses Krankheitsbild entfernt. Der Gingivitis kann am besten durch gründliche Zahnprophylaxe vorgebeugt werden. Meist schafft eine Umstellung der Mundhygiene, also regelmäßiges und gründliches Zähneputzen die gewünschte Vorsorge. Zusätzlich sollten Sie alle 6 Monate eine professionelle Zahnreinigung in unserer Praxis durchführen lassen.